3岁孩子拿着筷子乱跑跌倒,筷子插入颅内10厘米……

家里的孩子们,永远都是宝!
看着娃在家欢声笑语的奔跑
嘴角总是不自觉的扬起
前几周刚爆出家居安全新闻
“妈妈刚吃饭,撕心裂肺的哭声传来!3岁娃出事了!这东西家家都有……”
这几天又有孩子出事了……
不是小编总危言耸听
而是这些“小事情”真的需要注意!
下文图片可能会引起不适
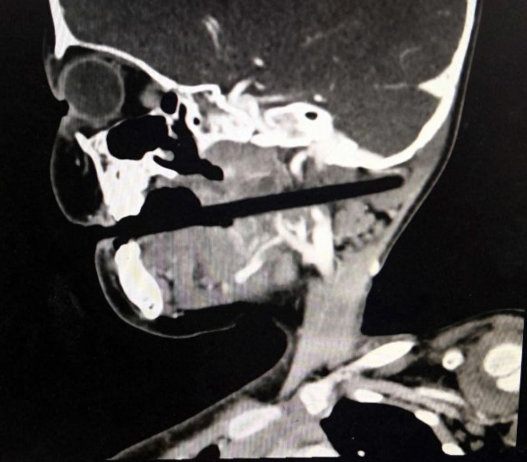
1 3岁孩子乱跑不慎跌倒, 筷子插入颅内10厘米……

其实类似的意外已经发生了不少次,搜一搜类似的新闻太多了。说明家长们根本就没有引起重视。孩子用吸管喝牛奶的时候打闹,结果吸管插入眼睛,导致角膜损伤;吃鱼丸时摔跤,筷子直插男童颅底。在儿童意外伤害事件中,不少是走路摔跤,异物插到脸部或者眼部。
孩子走路玩乐时,不能手持尖锐异物;更不能让孩子边打闹边进食。零碎的东西,如纽扣、硬币、玩具零件、电池、笔帽等,不要放在孩子够得着的地方。这些零碎物件有可能卡在鼻腔、耳道、气道、食道,都非常危险。
万一发生了意外,医生也提醒,家长千万要冷静,一定不要将插在孩子脸上的异物拔出,以免二次伤害,应第一时间送医,让医生处理。若发现年幼的孩子将零碎东西含在嘴里,要引导孩子主动吐出,惊吓哭闹中,孩子反而容易把东西吞入。
愿天下的孩子,
都能拥有一个健康快乐的童年!
来源:潇湘晨报、网络新闻等。

目前60000+加拿大华人妈妈关注我们哟
![]()
![]()



始发于微信公众号: 多伦多妈妈部落










